Eyelids and Eyebrows
Facial Surgery
Eyelids and Eyebrows
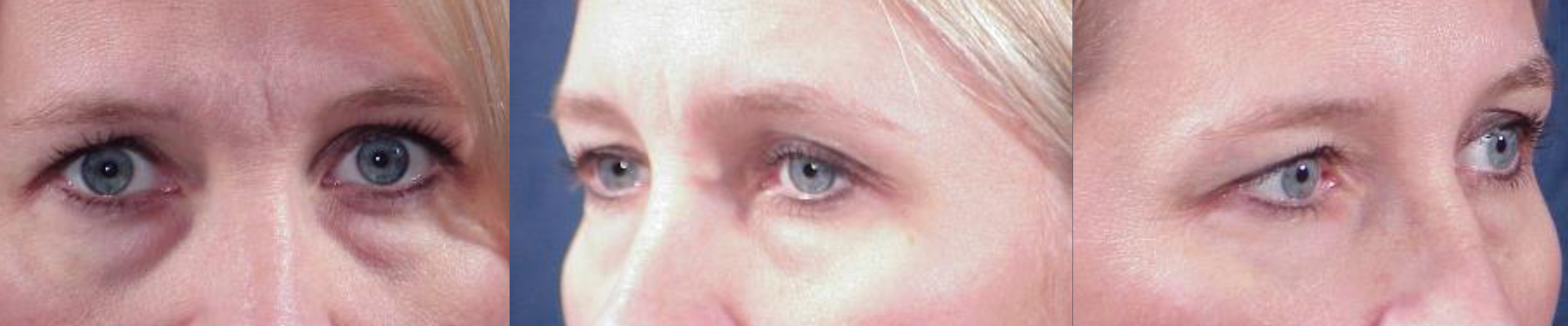
Blepharoplasty (Eyelid surgery)
Surgery can be performed on the upper lids, lower lids or both.
Whether you want to improve your appearance or are experiencing functional problems with your eyelids, eyelid surgery can rejuvenate the area surrounding your eyes.
The Blepharoplasty can treat:
Loose or sagging skin that creates folds or disturbs the natural contour of the upper eyelid, sometimes impairing vision
Fatty deposits that appear as puffiness in the eyelids
Bags under the eyes
Drooping lower eyelids that reveal white below the iris
Excess skin and fine wrinkles of the lower eyelid




Browlift
The brow lift surgery, also known as forehead lift or brow lift can give the patient a younger and fresher look to smooth the forehead, reducing frown lines and raise the position of the eyebrow line.
The browlift / forehead lift can smooth fine lines and folds, forehead lift, reposition the eyebrow line and lift and remove excess forehead skin that has lost elasticity over the years. This surgery will help you to look much younger, but not radically change of your appearance.


PRE SURGICAL PROCESS
Important to Know
- Acetylsalicylic acid (Aspirin)
- Ibuprofen
- Naproxen
- NSAID medications
- Diet pills
- Hormonal supplements
- Herbal supplements
- Vitamin E
- Omega 3
- Ginkbo Biloba
- Arnica
- Multivitamins
- Medications for anxiety, depression, and insomnia can continue.
- Medications for high blood pressure, diabe-tes, heart disease, and thyroid problems should be taken as directed by the prescrib-ing physician.
Pre operation Blood Tests
- Hematic Biometry
- Blood Chemistry
- Prothrombin time
- Partial Thromboplastin Time
Cardiological Evaluation
We have a list of specialist partners who support us with the assessments for our patients.
COVID Protocol
This protocol is to maximize the certainty that our patients are in the best health condition for your surgery.
The tests performed are:
- PCR, for its acronym in English for 'Polymerase Chain Reaction', is a diagnostic test that allows detecting a fragment of the genetic material of a pathogen, it is being used to determine whether or not a person is infected with COVID. It must be done no more than 5 days before surgery.
- Antibody test, unlike PCR, these tests do not identify the RNA of the virus, but rather detect antibodies produced against the virus using a blood sample, which is another way of knowing if the patients have an infected status.
Pre surgical Evaluation
DURING SURGERY
Important; The estimated time provided in this information is only about the surgical procedure, the preparation and recovery time must be considered.
Importante; el tiempo estimado que se proporciona en esta información es solo sobre el procedimiento quirúrgico, ya que se tiene que tomar en cuenta el tiempo de preparación y recuperación.

